Warning: date() expects at least 1 parameter, 0 given in /var/www/vhosts/noahspath.com/new.noahspath.com/index.php on line 37
Noah’s Path. Patólogo Especializado en Fauna Exótica, Salvaje y de Zoo | Hipertrofia cardiaca derecha en hipoxia de altitud en mamiferos de zoo

NEW.NOAHSPATH.COM

Dedicado a la patología de animales salvajes, exóticos y de zoo desde hace más de 25 años

Dedicado a la patología de animales salvajes, exóticos y de zoo desde hace más de 25 años

Hipertrofia cardiaca derecha en hipoxia de altitud en mamíferos de zoo

Caracterizada por primera vez en mamíferos de zoo la enfermedad arterial pulmonar por hipertensión debida a hipoxia de la altitud y complicada con hipertrofia ventricular derecha y, en algunos casos, insuficiencia cardiaca congestiva de lado derecho, enfermedad similar a las formas subagudas y crónicas del mal de alturas en humanos y “enfermedad del costillar” en ganado vacuno. Un estudio apasionante fruto de un trabajo sistemático de necropsias con énfasis en patología cardiaca macroscópica y en histopatología arterial pulmonar iniciado en Africam Safari durante los años en que Carles Juan-Sallés era patólogo en este reconocido zoológico de Puebla (México) y que puede ser particularmente útil para numerosos zoológicos en América Latina ubicados en altitudes superiores a 2000 msnm - Juan-Sallés C, et al: Pulmonary arterial disease associated with right-sided cardiac hypertrophy and congestive heart failure in zoo mammals housed at 2,100 m above sea level. Journal of Zoo and Wildlife Diseases 46:825-32, 2015

Congestión hepática pasiva crónica e hidrotórax - ICC derecha por hipoxia de la altitud

Oryx dammah

Hipertrofia concéntrica ventricular derecha, hipoxia de la altitud

Boselaphus tragocamelus

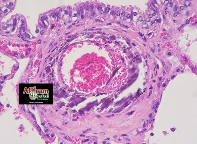
Degeneración fibrinoide y arteriosclerosis (fibrosis transmural y periarterial) pulmonar, hipoxia de la altitud

Boselaphus tragocamelus

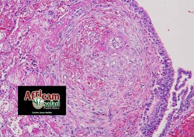
Arteriosclerosis (fibrosis transmural) pulmonar, hipoxia de la altitud

Oryx dammah

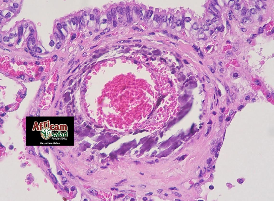
Degeneración fibrinoide, hemorragia e hiperplasia/hipertrofia mediales arteriales pulmonares, hipoxia de la altitud

Boselaphus tragocamelus

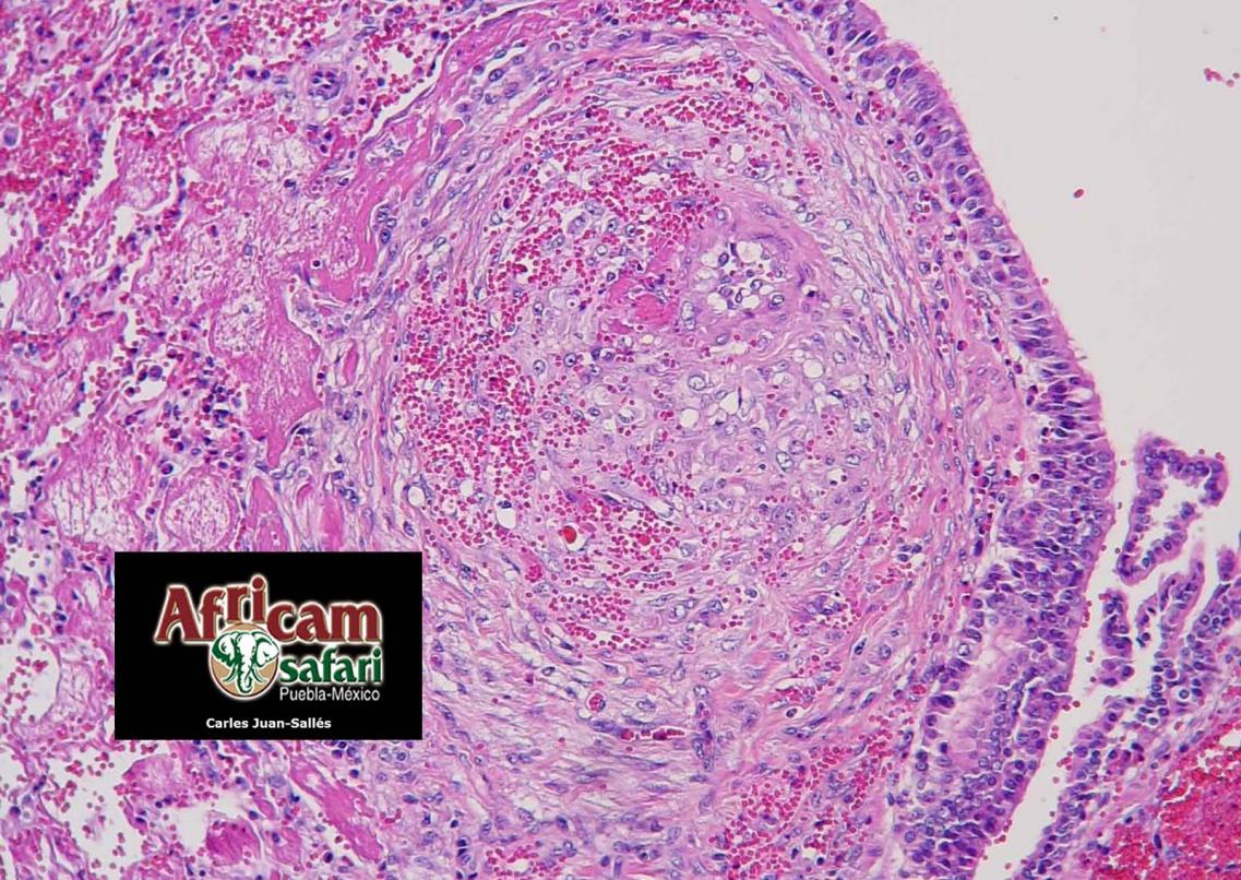
Mineralización y hemorragia mediales arteriales pulmonares, hipoxia de la altitud

Oryx dammah

Congestión hepática pasiva crónica, insuficiencia cardiaca congestiva de lado derecho, hipoxia de la altitud

Oryx dammah

Hipertrofia concéntrica ventricular derecha, hipoxia de la altitud

Dolichotis patagonum

Hipertrofia concéntrica ventricular derecha, hipoxia de la altitud

Dolichotis patagonum

Diseño y Programación: Elx virtual