Warning: date() expects at least 1 parameter, 0 given in /var/www/vhosts/noahspath.com/new.noahspath.com/index.php on line 37
Noah’s Path. Patólogo Especializado en Fauna Exótica, Salvaje y de Zoo | Enfermedades de anfibios

NEW.NOAHSPATH.COM

Dedicado a la patología de animales salvajes, exóticos y de zoo desde hace más de 25 años

Dedicado a la patología de animales salvajes, exóticos y de zoo desde hace más de 25 años

Enfermedades de anfibios

Después de muchos años de trabajo en diagnóstico con estos 131 anfibios, frecuentemente procesados en cortes transversales seriados de todo su cuerpo, hemos aprendido mucho sobre enfermedades de anfibios. Pasaron años también de dedicación a este estudio, probablemente meses de mi vida empleados en documentar fotográficamente esta casuística ... todo un reto trabajando en un servicio de diagnóstico especializado con alrededor de 1600 casos anuales en los últimos años para un único patólogo, y cuidando de dos personitas muy necesitadas de jugar. La primera parte, dedicada a las enfermedades infecciosas y parasitarias, ha sido recientemente publicada en la revista Clínica Veterinaria de Pequeños Animales (40(1):15-27, 2020) de AVEPA; con este estudio, nuestro deseo era ofrecer unos materiales de diagnóstico basándonos en la imagen, en color, y en tópicos prácticos útiles para divulgar medicina de anfibios en lengua española. Nos honra haber recibido el 2º Premio de la XXIII Edición del Premio Científico AVEPA – Miguel Luera por este artículo, lo que me permite recuperar la ilusión del concepto de patología para conservación y que no quede en meras palabras. Este logro lo es para conservación. Esperamos que pronto se llegue a publicar la segunda parte de este estudio, que incluye el resto de enfermedades diagnosticadas en estos 131 pacientes. Agradezco a tantas personas que habéis remitido casos de anfibios (¡y otras muchas especies!) a Noah's Path durante tanto tiempo; a mi laboratorio de histotecnología Synlab Diagnósticos Globales por su extraordinario trabajo en las preparaciones histológicas; a mis residentes en rotación de UNAM Celic Berenice Montoya, Mayra Chávez y Rubén Arturo López por ser esenciales en mantener a flote Noah's Path en los años más difíciles; a mis grandes maestros Alberto Marco, Mariano Domingo y Pepe Ramos en la Universitat Autònoma de Barcelona por inculcarme las bases esenciales del conocimiento y forma de trabajar en patología; a Amy Camacho y Alberto Parás con nuestro Africam Safari y toda mi gente de México por 4 años maravillosos de mi vida que hicieron expresar y crecer mi personalidad; a mi mentor Mike Garner por tantas enseñanzas como patólogo y como padre, y sobre todo por su amistad - o más bien hermandad -, inquebrantable durante ya más de 22 años, y por su fantástico sentido del humor; y a mi maravillosa familia por hacer posible y motivarme de forma esencial para esta dedicación y este logro, muy especialmente a mi mamá Maite - "a la mare" - y a su amiga-hermana María, que han sido un extraordinario ejemplo de dedicación, abnegación, constancia, organización, honestidad, bondad y altruismo. Y a mis personitas muy necesitadas de jugar, les pido sobre todo que cuando se hagan mayores se acuerden mucho de Compostito y por qué son tan importantes los anfibios en nuestro planeta.

Sapo alojado en composta vegetal

La observación y educación son esenciales para la conservación. Conservemos los anfibios.

Dibujo y texto de Anahí Juan Máinez, 10/2020

Nefritis por microsporidios

Escuerzo de Cranwell (Ceratophrys cranwelli)

Nefritis por microsporidios, tinción de Gram

Escuerzo de Cranwell (Ceratophrys cranwelli)

Rabdomionecrosis y pericarditis fibrinosa por trematodiasis

Salamandra jaspeada (Ambystoma opacum)

Nematodiasis pulmonar (Rhabdias)

Rana tomate (Dyscophus guineti)

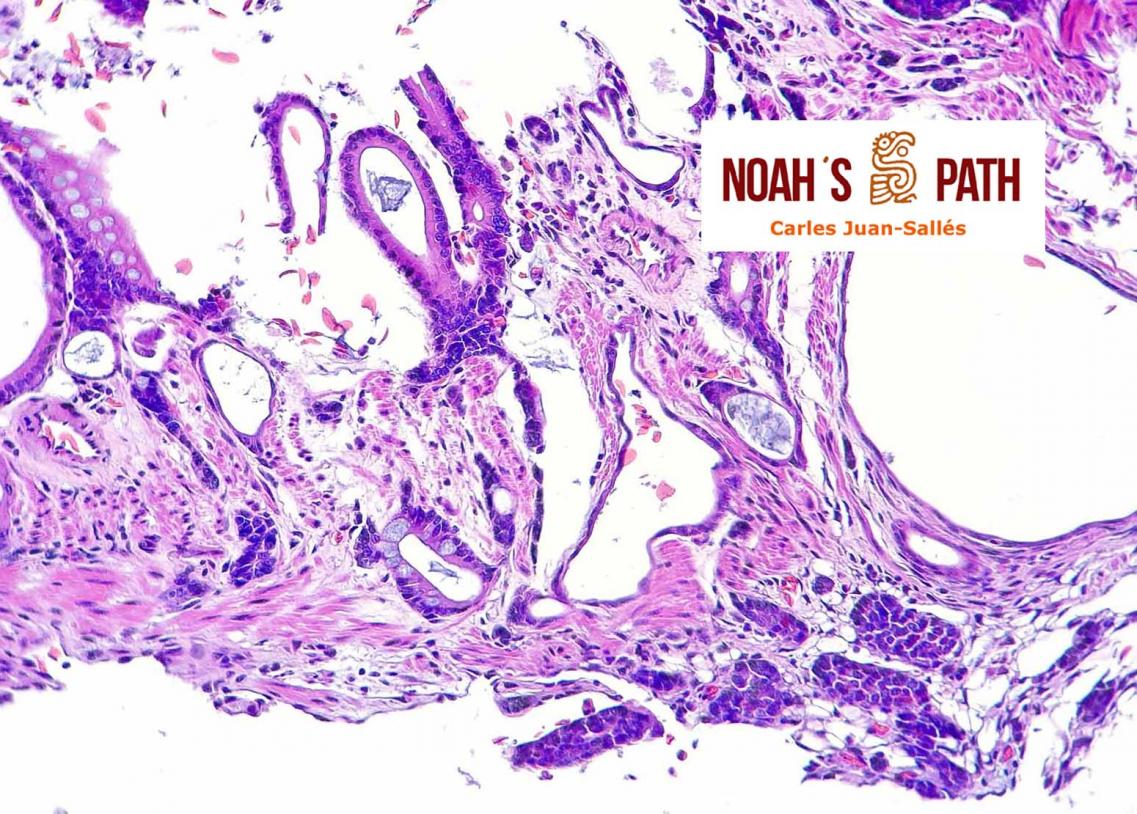
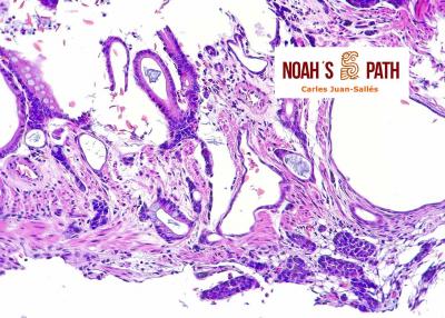
Adenocarcinoma intestinal

Rana dardo verdinegra (Dendrobates auratus)

Diseño y Programación: Elx virtual