Warning: date() expects at least 1 parameter, 0 given in /var/www/vhosts/noahspath.com/new.noahspath.com/index.php on line 37
Noah’s Path. Patólogo Especializado en Fauna Exótica, Salvaje y de Zoo | Criptococosis en hurones

NEW.NOAHSPATH.COM

Dedicado a la patología de animales salvajes, exóticos y de zoo desde hace más de 25 años

Dedicado a la patología de animales salvajes, exóticos y de zoo desde hace más de 25 años

Criptococosis en hurones

Colaborando en la primera descripción de criptococosis causada por el patógeno emergente en el hemisferio Norte Cryptococcus gattii en fauna exótica/pequeños mamíferos (hurón) en la Península Ibérica con Clínica Exòtics (Barcelona) y la Universidad Miguel Hernández (Elche); este patógeno es de interés adicional por el desarrollo de su fase ambiental en árboles a diferencia de C. neoformans y porque causa enfermedad en humanos inmunocompetentes. Morera N, Juan-Sallés C, et al: Cryptococcus gattii infection in a Spanish pet ferret (Mustela putorius furo) and asymptomatic carriage in ferrets and humans from its environment. Medical Mycology 49:779-84, 2011.

Meningomielitis por criptococosis

Hurón

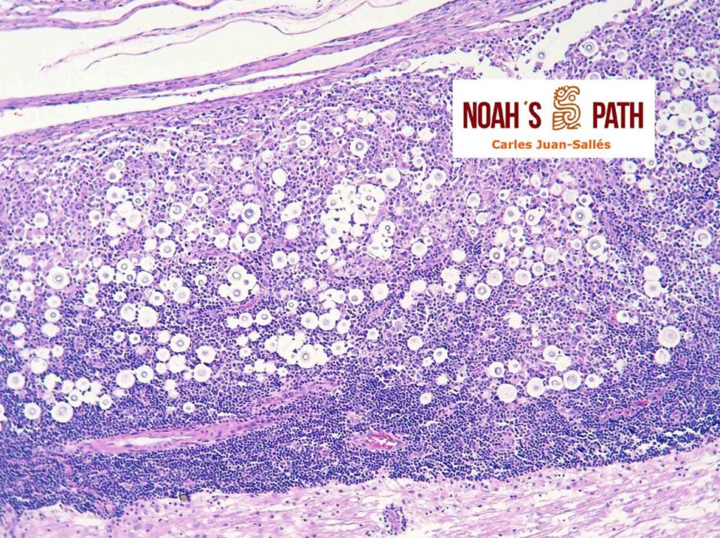
Radiculoneuritis por criptococosis

Hurón

Embolismo de Cryptococcus en pulmón

Hurón

Criptococosis mediastínica - aspirado ecoguiado, tinción tinta china

Hurón

Diseño y Programación: Elx virtual