Warning: date() expects at least 1 parameter, 0 given in /var/www/vhosts/noahspath.com/new.noahspath.com/index.php on line 37
Noah’s Path. Patólogo Especializado en Fauna Exótica, Salvaje y de Zoo | Encefalitozoonosis en tamarinos

NEW.NOAHSPATH.COM

Dedicado a la patología de animales salvajes, exóticos y de zoo desde hace más de 25 años

Dedicado a la patología de animales salvajes, exóticos y de zoo desde hace más de 25 años

Encefalitozoonosis en tamarinos

Confirmación de la encefalitozoonosis como causa de mortalidad neonatal en programas de cría de tamarinos, y extensión del rango geográfico de la enfermedad a México y EUA gracias a un estudio retrospectivo también multi-institucional iniciado desde Africam Safari (México) por Carles Juan-Sallés en 2003 - Disseminated encephalitozoonosis in cotton-top (Saguinus oedipus) and emperor (S. imperator) tamarins in North America. Veterinary Pathology 43:438-46, 2006

Mortalidad juvenil por encefalitozoonosis

Saguinus oedipus

Encefalitis encefalitozoonosis (E. cuniculi)

Saguinus oedipus

Encefalitozoonosis (E. cuniculi), encéfalo

Saguinus oedipus

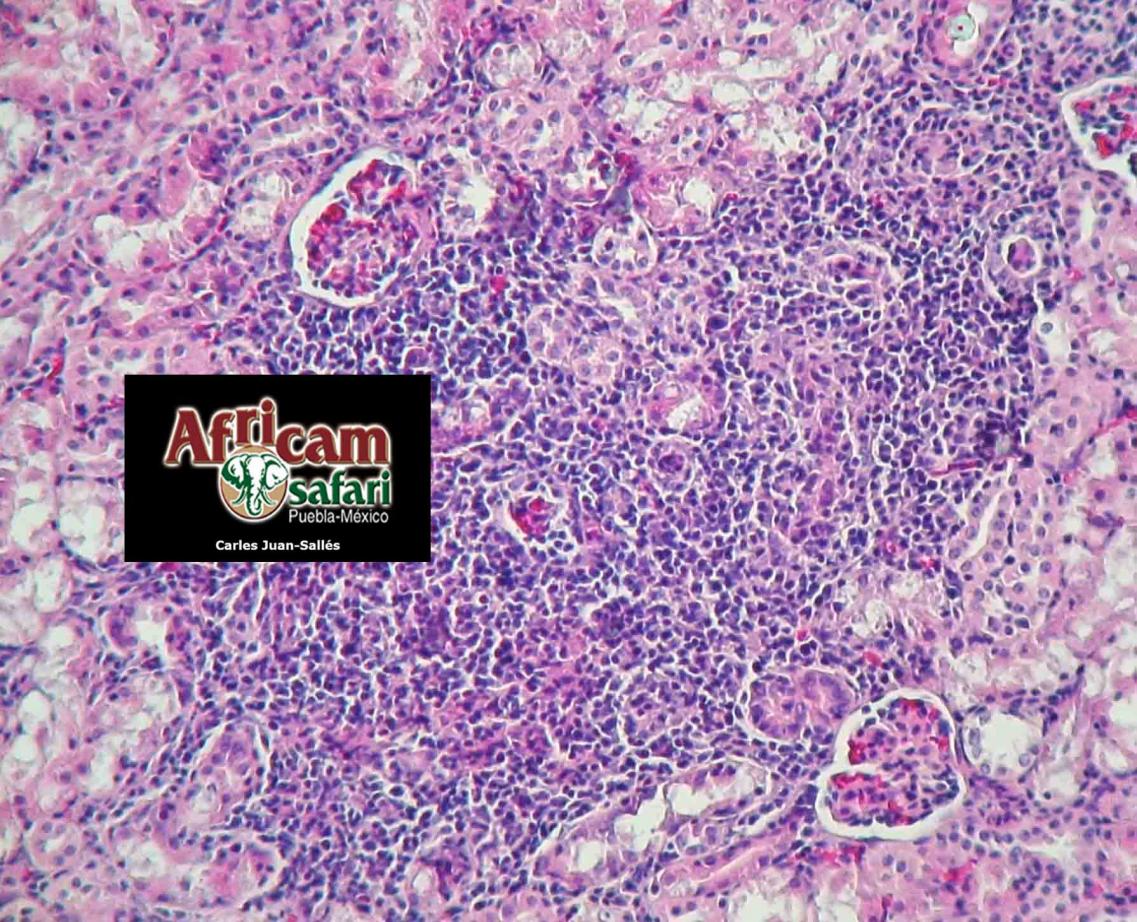
Nefritis, encefalitozoonosis (E. cuniculi)

Saguinus oedipus

Encefalitozoonosis (E. cunniculi), encéfalo - tinción de Brown-Brenn

Saguinus oedipus

Diseño y Programación: Elx virtual