Warning: date() expects at least 1 parameter, 0 given in /var/www/vhosts/noahspath.com/new.noahspath.com/index.php on line 37
Noah’s Path. Patólogo Especializado en Fauna Exótica, Salvaje y de Zoo | Cursos ponencias y talleres

NEW.NOAHSPATH.COM

Dedicado a la patología de animales salvajes, exóticos y de zoo desde hace más de 25 años

Dedicado a la patología de animales salvajes, exóticos y de zoo desde hace más de 25 años

Cursos, ponencias y talleres

Se dispone de ponencias de formación sistemáticas y por especies o grupos taxonómicos sobre enfermedades/patología, así como de ponencias en formato interactivo de presentaciones clínicas y patológicas frecuentes, citopatología, y patología de huevos aviares.

Malposición embrionaria (cabeza girada a izquierda, eje axial disposición horizontal, saco vitelino desplazado dorsalmente)

Nymphicus hollandicus

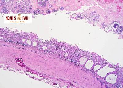
Disección aórtica con hematoma medial

Taurotragus oryx

Neumonía supurativa y proliferativa bacteriana

Python molurus bivittatus

Estómago normal de múltiples cámaras

Bradypus tridactylus

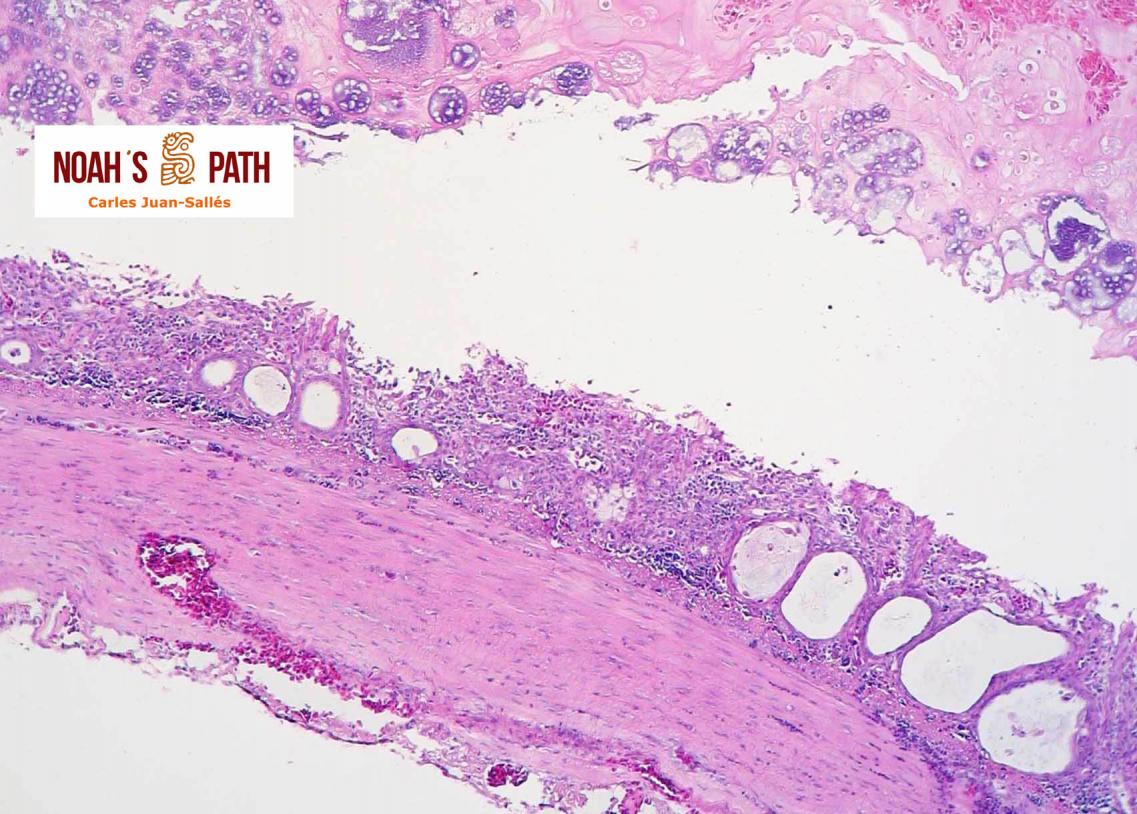
Acariasis epidérmica

Pyrrhula pyrrhula

Enteropatía por agente radiomimético con infección bacteriana secundaria - intoxicación por fenbendazol

Mycteria ibis

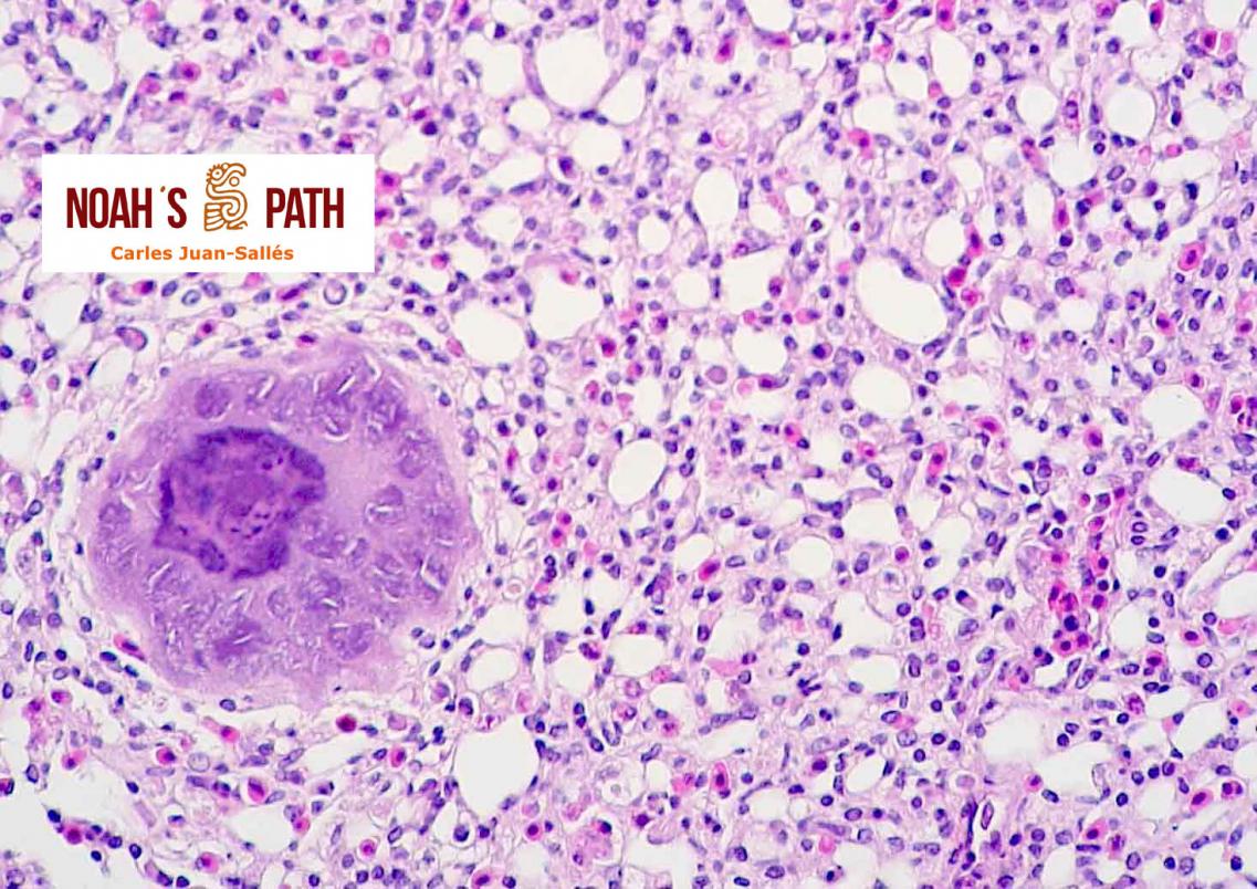
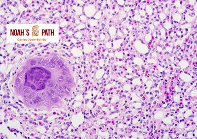
Hipoperfusión tisular pulmonar asociada a megaloesquizonte y Leucocytozoon

Parabuteo unicinctus

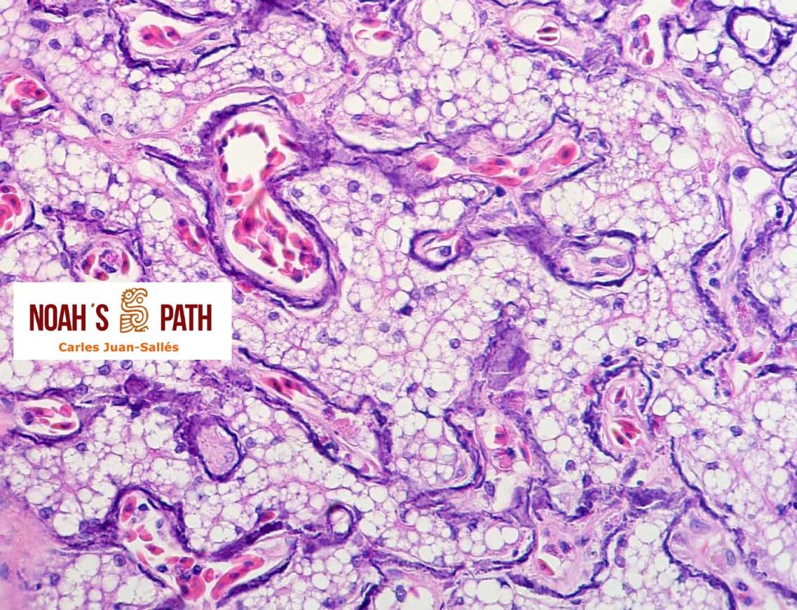
Mineralización sinusoidal hepática y lipidosis

Furcifer pardalis

Diseño y Programación: Elx virtual