Warning: date() expects at least 1 parameter, 0 given in /var/www/vhosts/noahspath.com/new.noahspath.com/index.php on line 37
Noah’s Path. Patólogo Especializado en Fauna Exótica, Salvaje y de Zoo | Proyecto de Patologia para Conservacion Tacugama Chimpanzee Sanctuary

NEW.NOAHSPATH.COM

Dedicado a la patología de animales salvajes, exóticos y de zoo desde hace más de 25 años

Dedicado a la patología de animales salvajes, exóticos y de zoo desde hace más de 25 años

Proyecto de Patología para Conservación - Tacugama Chimpanzee Sanctuary

Nos complace anunciar el inicio de este trabajo de alcance con un proyecto de colaboración ambicioso con el Tacugama Chimpanzee Sanctuary de Sierra Leone (www.tacugama.com), centro de rehabilitación de chimpancés del Oeste (Pan troglodytes verus), fundado en 1995. Dicho centro, ampliamente reconocido en la red de centros de rescate de primates/fauna en África, proporciona cuidado general y médico a más de 70 chimpancés en la actualidad en condiciones de semi-libertad, y adicionalmente trabaja en actividades de educación ambiental y conservación en dicho país. En 2011, el Tacugama Chimpanzee Sanctuary organizó conjuntamente con la IUCN/SSC Conservation Breeding Specialist Group (CBSG) el taller de trabajo para la evaluación de la viabilidad del hábitat y poblaciones de esta subespecie de chimpancé en Sierra Leone. El chimpancé del Oeste es una de las subespecies de chimpancé más amenazadas y Sierra Leone alberga el tercer censo mayor (más de 5000 individuos en 2010) para ésta tras Guinea y Liberia, aunque más de la mitad vive en zonas no protegidas fragmentadas en su geografía; diversas modalidades de destrucción de su hábitat y la caza furtiva (para consumo de carne o para reducir la entrada de chimpancés en plantaciones) constituyen las causas mayores de la reducción de la población actual, aunque el papel posible de enfermedades infecciosas, sobre todo la infección por el virus de Ébola, se desconoce (alguna de sus epidemias previas a la más reciente y devastadora de 2014-2015 en humanos vinieron precedidas por brotes de mortalidad en gorilas y chimpancés de las mismas zonas, en algunos de los cuales se detectó el virus). Desde 2005, el centro sufre un problema de mortalidad estacional en chimpancés por un síndrome de muerte repentina con frecuencia precedida por síntomas nerviosos; el trabajo previo de diagnóstico ha proporcionado información valiosa pero la causa de este proceso todavía está por determinar aunque en la actualidad existe la hipótesis de intoxicación por monofluoroacetato sódico resultante del consumo de la planta Dichapetalum heudelotii, presente en las instalaciones donde se produce la mortalidad. Precisamente, la colaboración entre el Tacugama Chimpanzee Sanctuary y Noah’s Path ha surgido inicialmente con el fin de tratar de identificar la causa de este proceso. El plan de trabajo incluye:

1- Revisión de la información de diagnóstico previa (estudio retrospectivo)

2- Modificación del protocolo de necropsias y muestreo

3- Evaluación clínica y laboratorial del estado de salud de los chimpancés del centro previa a la estación en la que se concentra la mortalidad

4- Estudio prospectivo exhaustivo de cualquier caso de mortalidad en el que se incluirá una evaluación histopatológica sistemática y toxicológica; adicionalmente, se planea un monitoreo diagnóstico de cualquier episodio de mortalidad en chimpancés de vida libre y otra fauna salvaje alrededor del centro.

 

Este proyecto facilitaría la implementación de un programa sostenible de patología y monitoreo de enfermedades para esta especie y fauna silvestre en general de la zona. Desde Noah’s Path pretendemos acercaros a este proyecto y facilitar la colaboración de proveedores, clientes y otros profesionales, empresas e instituciones en el mismo. Existen muy diversas formas de colaboración posible (por ejemplo, donación de equipo nuevo o usado, donación de fungibles, financiación, voluntariado, o difusión) y, si estáis interesados, os rogamos que os pongáis en contacto con nosotros o directamente con el Tacugama Chimpanzee Sanctuary ya que cada ayuda puntual, una única persona, un único gesto, puede llegar a ser vital para este proyecto, para la conservación del chimpancé del oeste en Sierra Leone, y para el centro.

Cría de chimpancé en rehabilitación

Tacugama Chimpanzee Sanctuary

Patología aplicada a conservación de poblaciones saludables de póngidos

Chimpancé (Pan troglodytes) en Nyungwe National Park, Rwanda 2011

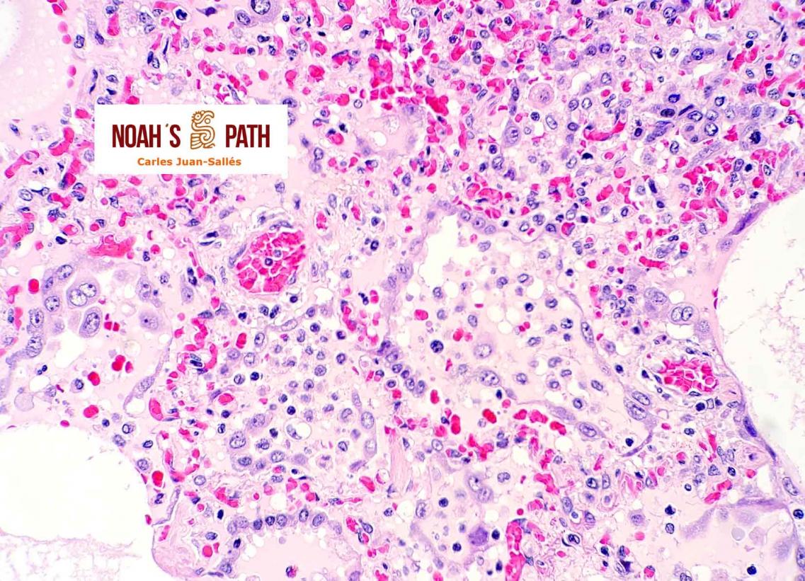
Neumonía purulenta, Streptococcus pneumoniae

Chimpancé (Pan troglodytes)

Congestión hepática pasiva crónica, insuficiencia cardiaca congestiva de lado derecho

Chimpancé (Pan troglodytes)

Trofozoítos del ciliado Troglodytella

Chimpancé (Pan troglodytes)

Chimpancé rehabilitado

Tacugama Chimpanzee Sanctuary

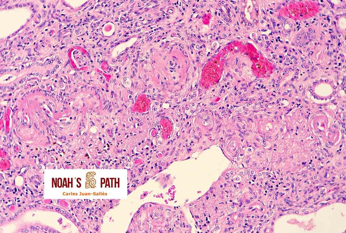
Nefroesclerosis arteriolar, degeneración fibrinoide arteriolar renal - hipertensión sistémica

Chimpancé (Pan troglodytes)

Arteriosclerosis esplénica - hipertensión sistémica

Chimpancé (Pan troglodytes)

Chimpancé en un árbol

Tacugama Chimpanzee Sanctuary

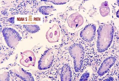
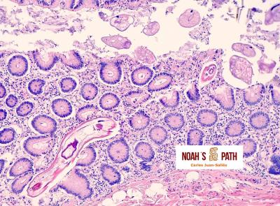
Enterobiasis invasiva, troglodytelliosis luminal

Chimpancé (Pan troglodytes)

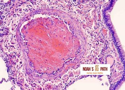
Trombosis arteria pulmonar

Chimpancé (Pan troglodytes)

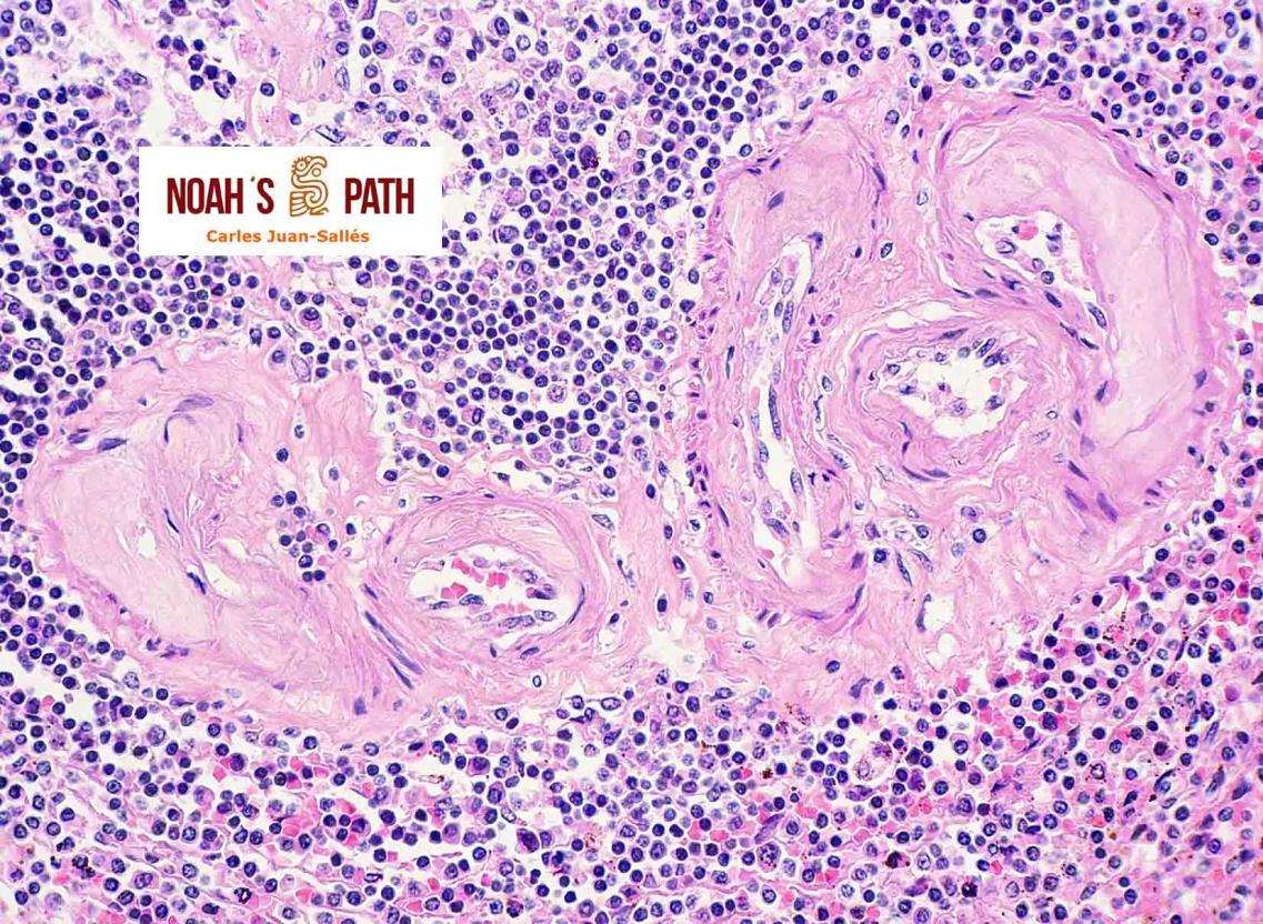
Ateromatosis en arterias basilar y vertebrales (base encéfalo)

Chimpancé (Pan troglodytes)

Ateromatosis en arterias basilar y vertebrales (base encéfalo)

Chimpancé (Pan troglodytes)

Neumonía bronquiolointersticial vírica

Chimpancé (Pan troglodytes)

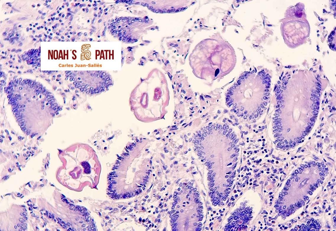
Enterobiasis, troglodytelliosis

Chimpancé (Pan troglodytes)

Cardiomiopatía dilatada de lado derecho

Chimpancé (Pan troglodytes)

Fibrosis miocárdica, miocarditis

Chimpancé (Pan troglodytes)

Fibrosis miocárdica, hipertrofia nuclear de cardiomiocitos

Chimpancé (Pan troglodytes)

Chimpancés descansando

Nyungwe National Park, Rwanda, 2011

Degeneración e hipertrofia nuclear de cardiomiocitos, miocarditis

Chimpancé (Pan troglodytes)

Respuesta estrés crónico - adrenal

Chimpancé (Pan troglodytes)

Chimpancé rehabilitado en los árboles del santuario

Tacugama Chimpanzee Sanctuary

Diseño y Programación: Elx virtual