Warning: date() expects at least 1 parameter, 0 given in /var/www/vhosts/noahspath.com/new.noahspath.com/index.php on line 37
Noah’s Path. Patólogo Especializado en Fauna Exótica, Salvaje y de Zoo | Estudios retrospectivos y descriptivos

NEW.NOAHSPATH.COM

Dedicado a la patología de animales salvajes, exóticos y de zoo desde hace más de 25 años

Dedicado a la patología de animales salvajes, exóticos y de zoo desde hace más de 25 años

Estudios retrospectivos y descriptivos

Realización de estudios sobre causas de morbilidad y mortalidad en especies con escasa documentación bibliográfica médica pero mantenidas frecuentemente en cautividad como las liebres de la Patagonia, y también de enfermedades específicas.

Enfermedades de anfibios

Después de muchos años de trabajo en diagnóstico con estos 131 anfibios, frecuentemente procesados en cortes transversales seriados de todo su cuerpo, hemos aprendido mucho sobre enfermedades de anfibios. Pasaron años también de dedicación a este estudio, probablemente meses de mi vida empleados en documentar fotográficamente esta casuística ... todo un reto trabajando en un servicio de diagnóstico especializado con alrededor de 1600 casos anuales en los últimos años para un único patólogo, y cuidando de dos personitas muy necesitadas de jugar. La primera parte, dedicada a las enfermedades infecciosas y parasitarias, ha sido recientemente publicada en la revista Clínica Veterinaria de Pequeños Animales (40(1):15-27, 2020) de AVEPA; con este estudio, nuestro deseo era ofrecer unos materiales de diagnóstico basándonos en la imagen, en color, y en tópicos prácticos útiles para divulgar medicina de anfibios en lengua española. Nos honra haber recibido el 2º Premio de la XXIII Edición del Premio Científico AVEPA – Miguel Luera por este artículo, lo que me permite recuperar la ilusión del concepto de patología para conservación y que no quede en meras palabras. Este logro lo es para conservación. Esperamos que pronto se llegue a publicar la segunda parte de este estudio, que incluye el resto de enfermedades diagnosticadas en estos 131 pacientes. Agradezco a tantas personas que habéis remitido casos de anfibios (¡y otras muchas especies!) a Noah's Path durante tanto tiempo; a mi laboratorio de histotecnología Synlab Diagnósticos Globales por su extraordinario trabajo en las preparaciones histológicas; a mis residentes en rotación de UNAM Celic Berenice Montoya, Mayra Chávez y Rubén Arturo López por ser esenciales en mantener a flote Noah's Path en los años más difíciles; a mis grandes maestros Alberto Marco, Mariano Domingo y Pepe Ramos en la Universitat Autònoma de Barcelona por inculcarme las bases esenciales del conocimiento y forma de trabajar en patología; a Amy Camacho y Alberto Parás con nuestro Africam Safari y toda mi gente de México por 4 años maravillosos de mi vida que hicieron expresar y crecer mi personalidad; a mi mentor Mike Garner por tantas enseñanzas como patólogo y como padre, y sobre todo por su amistad - o más bien hermandad -, inquebrantable durante ya más de 22 años, y por su fantástico sentido del humor; y a mi maravillosa familia por hacer posible y motivarme de forma esencial para esta dedicación y este logro, muy especialmente a mi mamá Maite - "a la mare" - y a su amiga-hermana María, que han sido un extraordinario ejemplo de dedicación, abnegación, constancia, organización, honestidad, bondad y altruismo. Y a mis personitas muy necesitadas de jugar, les pido sobre todo que cuando se hagan mayores se acuerden mucho de Compostito y por qué son tan importantes los anfibios en nuestro planeta.

Condrosarcoma en cobayas

Este estudio retrospectivo fue encaminado por Celic Berenice Montoya, estudiante de especialidad del Departamento de Patología de la Facultad de Veterinaria de la prestigiosa UNAM de México, durante su rotación en Noah's Path en 2017. En el mismo, publicado recientemente en la Revista de Clínica Veterinaria de Pequeños Animales de AVEPA, se describen 6 casos de condrosarcoma en cobayas con predilección por huesos planos y, en 3 de los pacientes, metástasis. Los condrosarcomas se observan en cobayas con mayor frecuencia que en el resto de mamíferos exóticos, en los que son muy raros.

Nefritis por flagelados en reptiles

En este estudio retrospectivo realizado uniendo la casuística de Mike Garner (Northwest ZooPath) y Noah's Path, se identificaron 29 casos de infección renal ascendente por protozoos flagelados en reptiles, mayoritariamente tortugas y camaleones. En numerosos casos, los flagelados se asociaban a nefritis túbulo-intersticial e incluso gota y mineralización de tejidos blandos, y, por lo tanto, se consideraron relevantes o incluso involucrados en la muerte de los animales afectados. Podéis encontrar más información en: Juan-Sallés C, et al: Renal flagellate protozoan infection in reptiles: 29 cases. Journal of Zoo and Wildlife Medicine 45(1):100-9, 2014.

Enfermedades de una colonia de maras (Dolichotis patagonum)

Realización de estudios sobre causas de morbilidad y mortalidad en especies con escasa documentación bibliográfica médica pero mantenidas frecuentemente en cautividad como las liebres de la Patagonia. Publicaciones:

1- Pathological findings in a captive colony of maras (Dolichotis patagonum). Veterinary Record 158:727-31, 2006

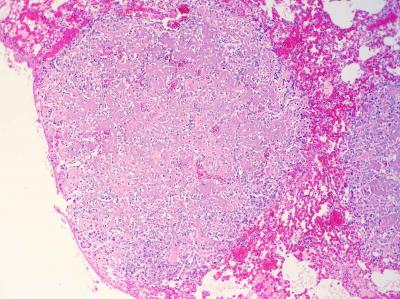
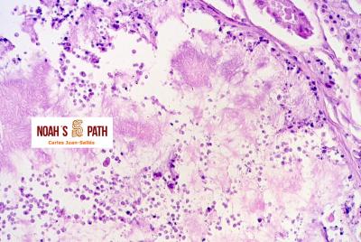
2- Disseminated Histoplasma capsulatum var. capsulatum in a captive mara (Dolichotis patagonum). Veterinary Record 155:426-8, 2004

3- Pulmonary besnoitiasis in captive maras (Dolichotis patagonum) associated with interstitial pneumonia.” Veterinary Pathology 41:408-11, 2004

4- Second case of histoplasmosis in a captive mara (Dolichotis patagonum): pathological findings. Mycopathologia 168:95-100, 2009

5- Identification of the source of histoplasmosis infection in two captive maras (Dolichotis patagonum) from the same colony using molecular and immunologic assays. Revista Argentina de Microbiología 41:102-4, 2009

6- Pulmonary arterial disease associated with right-sided cardiac hypertrophy and congestive heart failure in zoo mammals housed at 2,100 m above sea level. Journal of Zoo and Wildlife Diseases 46(4):825-32, 2015

Diseño y Programación: Elx virtual