Si los tejidos remitidos están bien conservados y son representativos, la histopatología resulta una técnica ante y post mortem esencial para el diagnóstico, y la medicina preventiva y curativa.
Tallado de muestras para histopatología
Un tallado cuidadoso con realización de cortes seriados para tratar de localizar lesiones que requieren especial atención
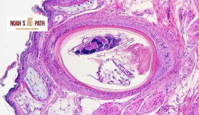
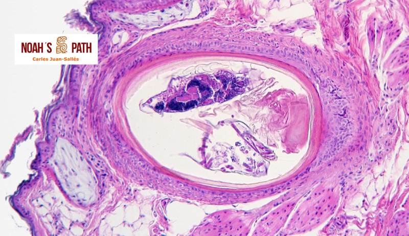
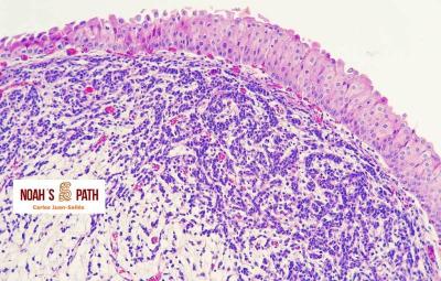
Acariasis de buche
Guacamayo (Ara chloroptera)
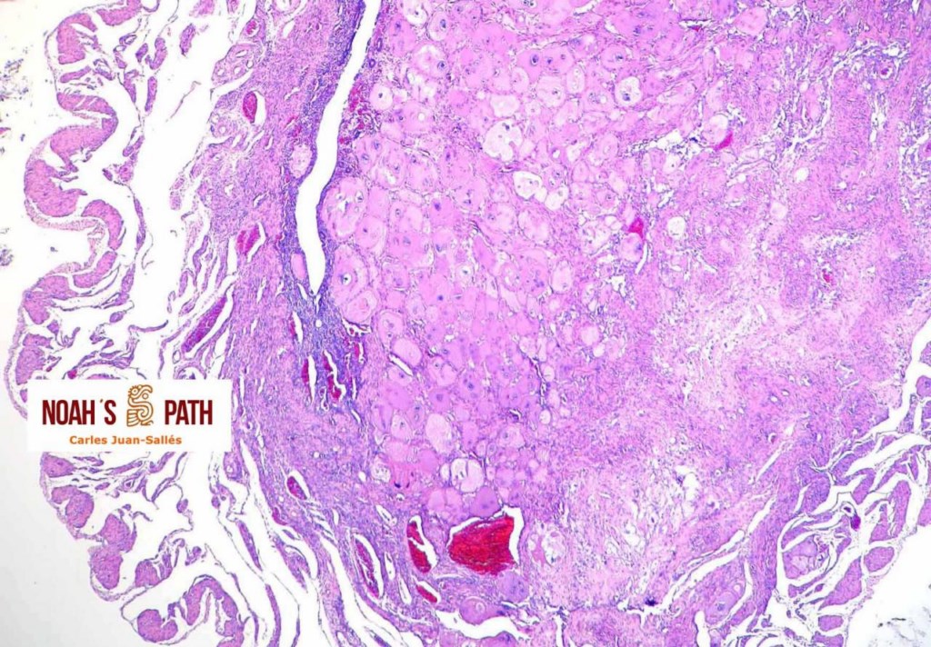
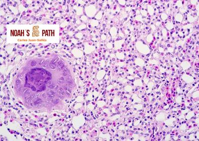
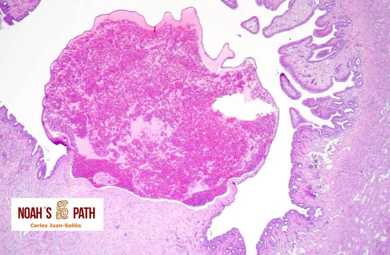
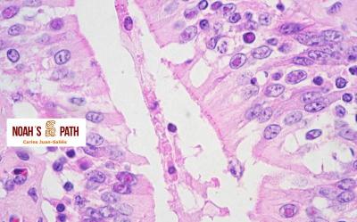
Adenocarcinoma tiroideo
Hurón
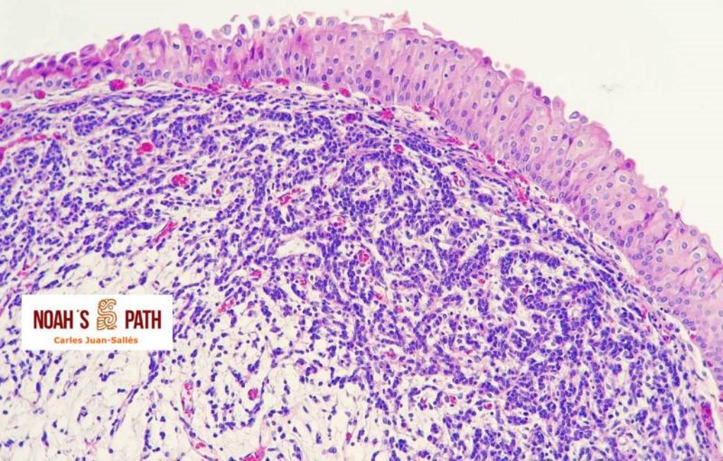
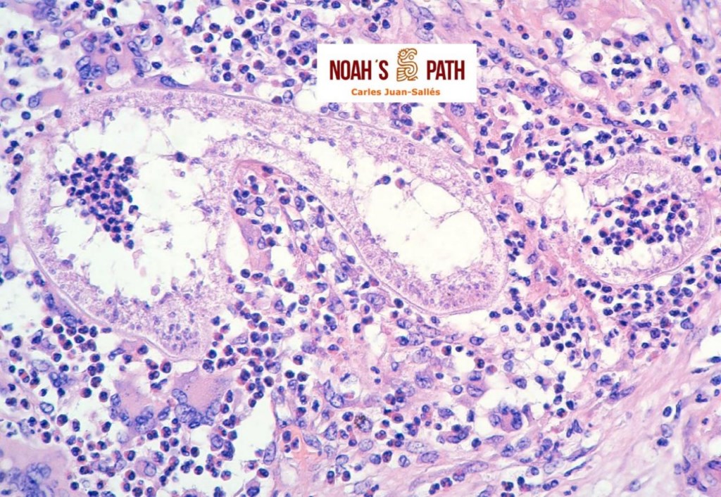
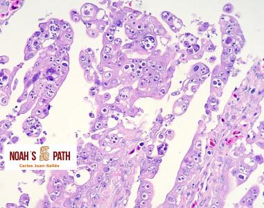
Aerosaculitis aspergilosis
Psittacus erithacus
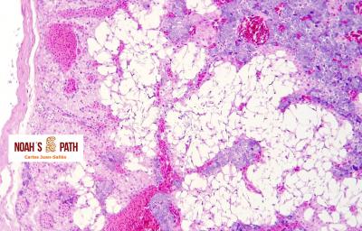
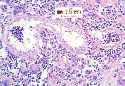
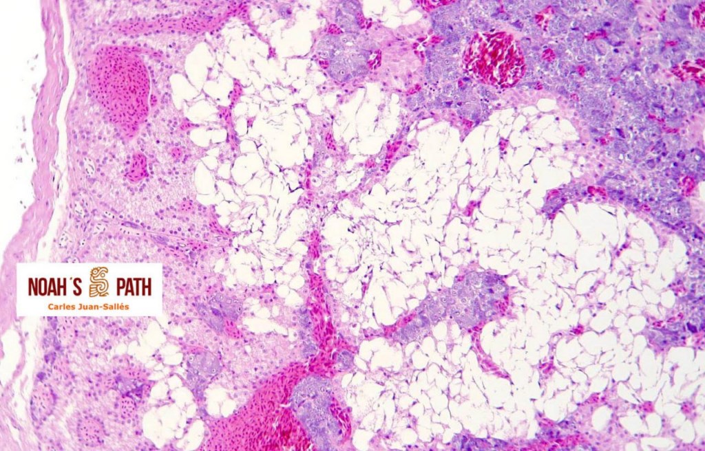
Aneurisma venoso endometrial
Conejo
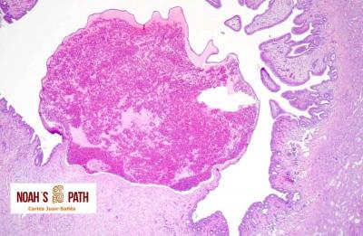
Embolismo de médula ósea en pulmón
Conejo
Coccidiosis intranuclear - intestino
Geochelone pardalis
Colangiohepatitis hidatidosis alveolar
Gorilla gorilla
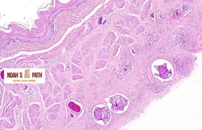
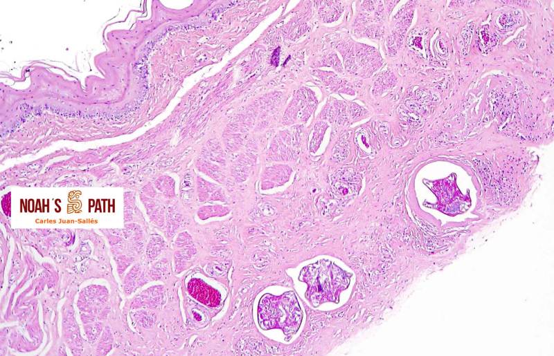
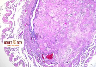
Acariasis folicular
Melopsittacus undulatus
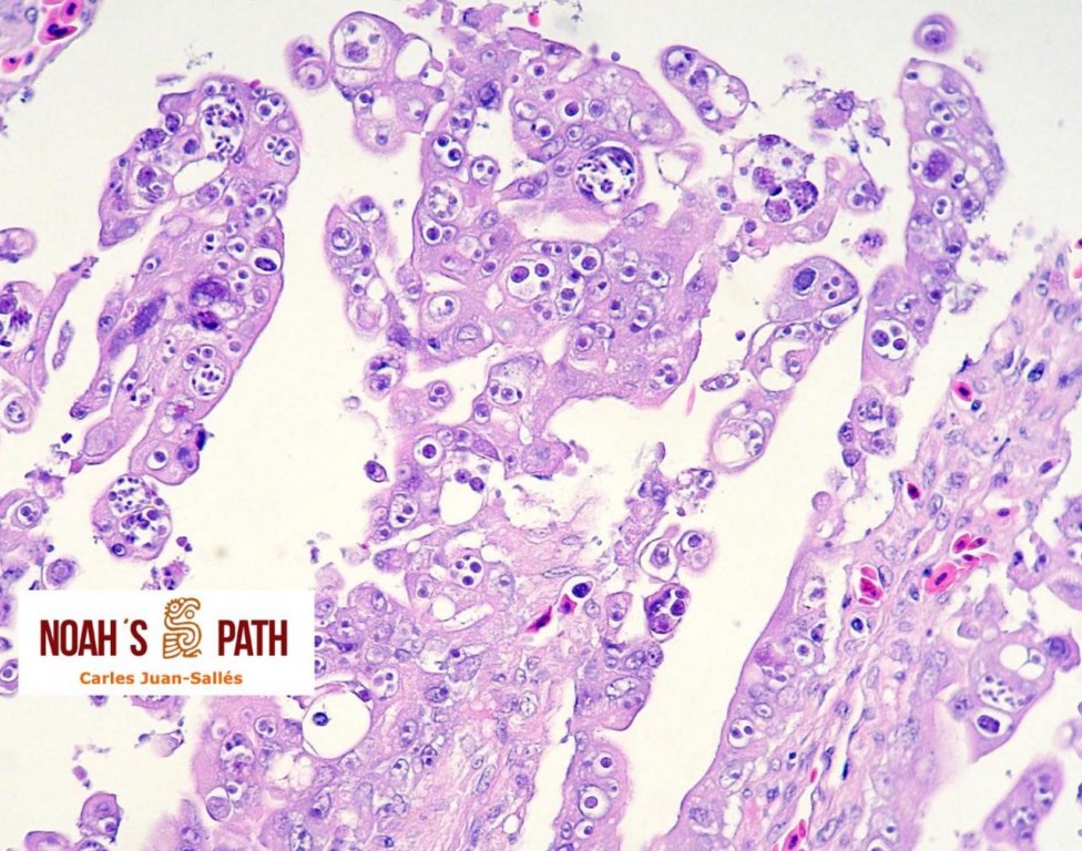
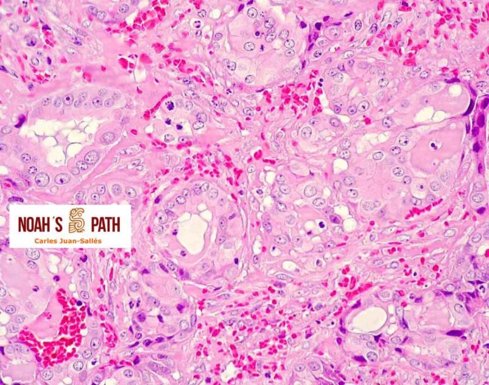
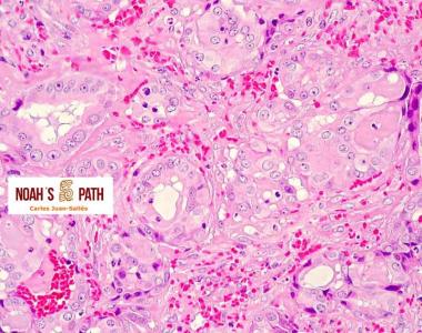
Coriocarcinoma uterino no gestacional
Chinchilla
Enteritis proliferativa coccidiosis intranuclear
Pogona vitticeps
Respuesta estrés crónico - adrenal
Psittacus erithacus
Carcinoma epitelio transición - vegija orina
Cobaya
Cariomegalia e inclusiones poliomavirus en buche
Aratinga
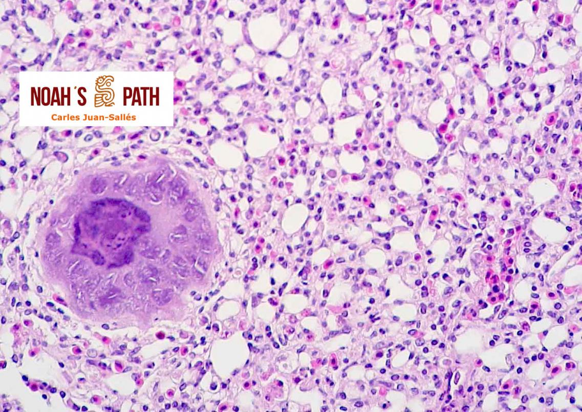
Infección por megaloesquizontes, leucocitozoonosis
Halcón