Antes de que sea demasiado tarde
Nocardiosis en hurones, estudio recién publicado (J Comp Pathology): una de las infecciones más frecuentes en hurones en España
Pasar desapercibido: un arte excepcional y sorprendente
Pronto...Proyecto Caracara: conservación basada en educación en la costa de Oaxaca
En gratitud a mi familia, mi clientela, la naturaleza y a mi México
¡Amy: Celebrando que sigues aquí!, un orgullo haber trabajado para ti
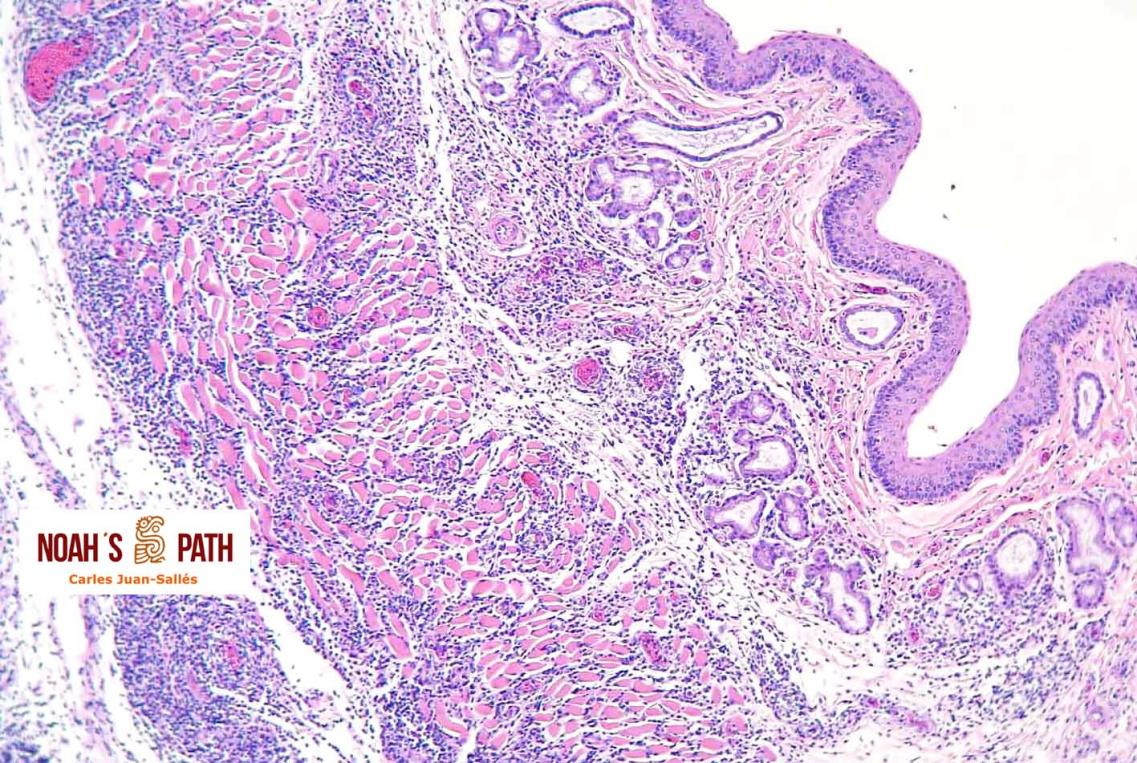
¡Como siempre, patología!: malposición embrionaria en guacamayo
Anita: en agradecimiento por compartir algo tan extraordinario de tu vida
La histopatología, herramienta básica en diagnóstico: tromboembolismo portal por nematodos en el hígado de un armadillo
Proyecto Caracara con Centro Ecoturístico La Escobilla: divulgar para respetar y proteger lo que nos sostiene
Inculcar amor por la naturaleza a nuestra infancia nos hará comprender mejor de lo que son capaces. Foto de Noah Juan Máinez con 9 años.
Inculcar amor por la naturaleza a nuestra infancia nos hará comprender mejor de lo que son capaces. Foto de Anahí Juan Máinez con 7 años.
¡Protejamos y cuidemos a nuestra/os mayores!. No está tan lejano el momento en que también lo seremos nosotras/os.
La observación y educación son esenciales para la conservación. Conservemos los anfibios. Dibujo y texto de Anahí Juan Máinez, 10/2020.
Vulnerabilidad pero determinación
Determinación para volver a empezar
Determinación a pesar de la adversidad
Venta de camisetas para recaudación de fondos para Tacugama Chimpanzee Sanctuary
Gran colaboración de CV La Marina Exóticos al proyecto de Tacugama Chimpanzee Sanctuary - venta paneles fotográficos solidarios, gracias!!
Gran contribución de GREFA al proyecto de Tacugama Chimpanzee Sanctuary con un rincón de Tacugama en su tienda - gracias!!
Gran contribución al proyecto de Tacugama Chimpanzee Sanctuary de CV Exóticos Fuenlabrada - compra de camisetas solidarias, gracias!!
Escolares en uno de los centros donde Tacugama Chimpanzee Sanctuary difunde conceptos de educación ambiental